Клиники
Израиля
Наша задача - дать вам полную информацию по клиникам Израиля.
Клиники
Врачи и отделения
Отзывы
Контакты
+7 (915) 643-60-26
(для звонков по России и
)
Главная
>
Врачи и отделения
>
Пульмонология
>
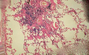
Гемосидероз
>
Гемосидероз
Гемосидероз
0
0
голоса
Рейтинг статьи
wpDiscuz
Insert